Implant Prosthodontics Protocols and Techniques for Fixed Implant Restorations 2022
۹,۸۰۰,۰۰۰ ریال قیمت اصلی: ۹,۸۰۰,۰۰۰ ریال بود.۸,۳۳۰,۰۰۰ ریالقیمت فعلی: ۸,۳۳۰,۰۰۰ ریال.
افست کتاب “Implant Prosthodontics Protocols and Techniques for Fixed Implant Restorations 2022” ویرایش اول
| Author | |
|---|---|
| Copyright Year | |
| Edition Number | |
| Print color | |
| Page Count | |
| Cover Type | |
| Dimensions | |
| Paper type | |
| Publishers | |
| ISBN Number | |
| Weight |
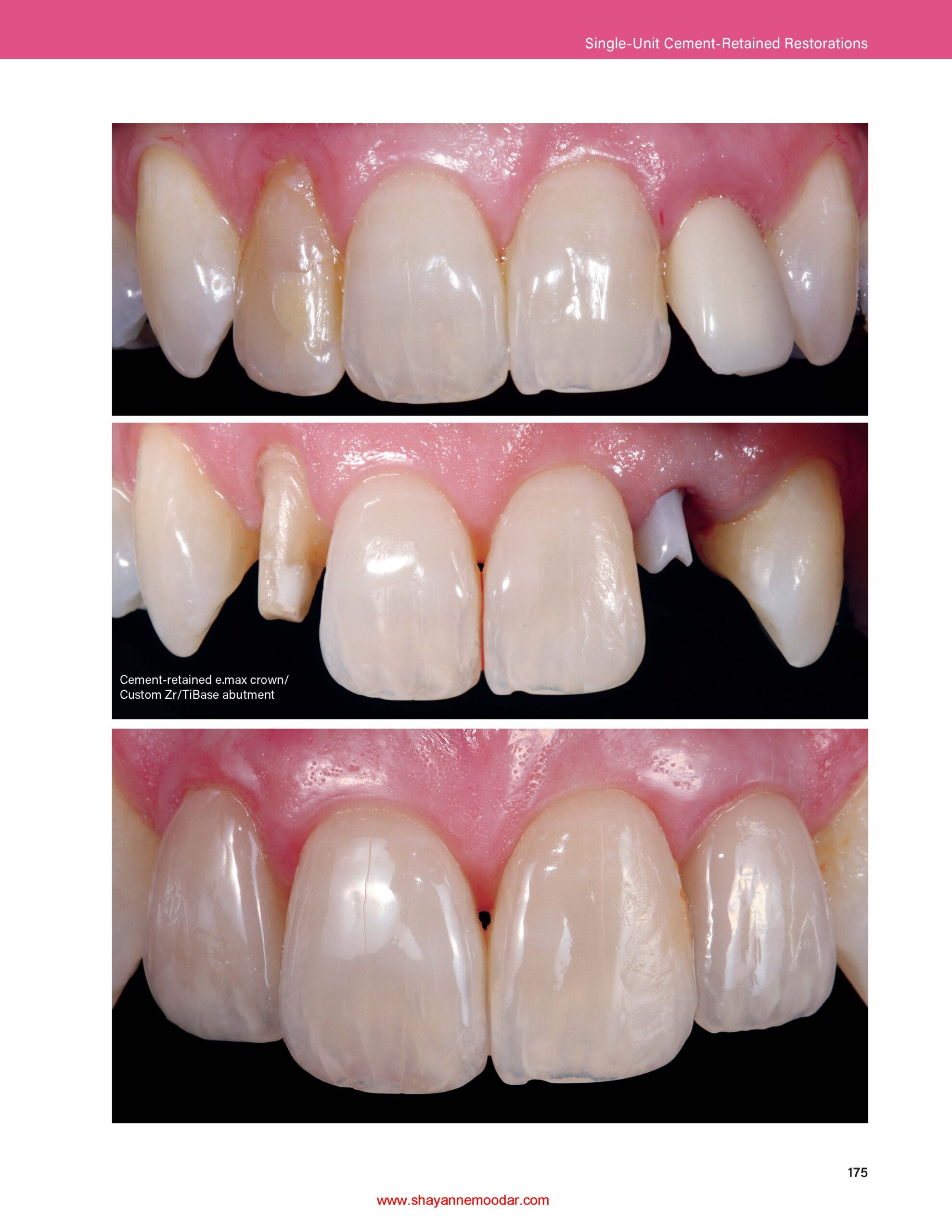
It is my intention that this book serves you as a key resource in the clinical practice of restoring implants in partially edentulous patients with fixed restorations. I have designed the text to provide the essentials of implant prosthodontic workflows and protocols based on the best available current evidence. In it you will find concise guidelines and checklists for every aspect of restoring dental implants. Many of the techniques also feature a QR code linking you to a video demonstration of the procedure. I have included directions and photographic demonstrations with three of the major implant manufacturers: Nobel Biocare, Straumann, and BioHorizons. Additionally, each section features an explanation of some special considerations related to the technique. It is my sincere hope that this book will serve you well in guiding you through the complex world of implant prosthodontics in a way that is easy to reference at each stage of the procedure. The checklists for each technique are included in the appendix for easy use intraoperatively by printing or loading onto a tablet. Use the QR code to access them electronically, or simply photocopy them from the appendix
